Đau đầu nguy hiểm không thường gặp nhưng cần được nhận diện sớm
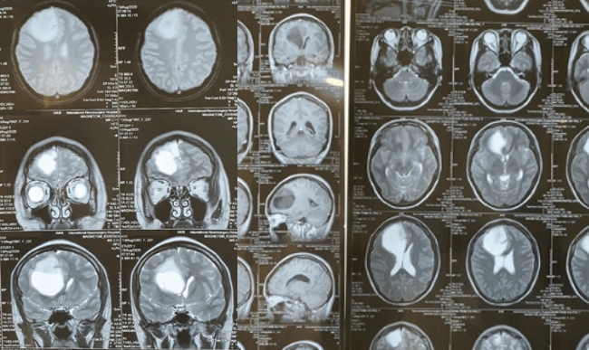
Đau đầu kèm mờ mắt nhanh ở một bệnh nhân nữ trong 07 ngày. Được chẩn đoán U nào thùy trán

Đau đầu cấp tính do tắc mạch máu não ở bệnh nhân nam 49 tuổi, có tiền căn Tăng huyết áp

Đau đầu ở một bệnh nhân nam bị dị dạng mạch máu não

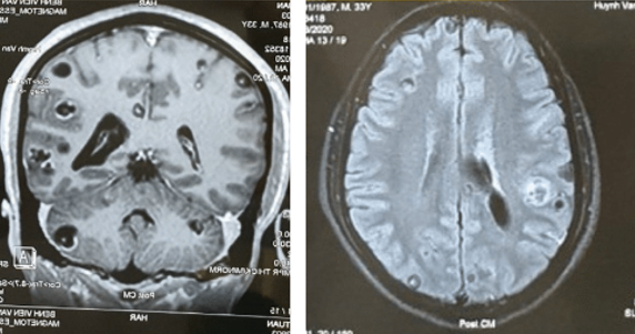
Đau đầu kèm co giật toàn cơ thể trong vòng 01 tháng ở bệnh nhân nam 31 tuổi, có thói quen ăn thịt tái, sống, được chẩn đoán sán não

Bệnh nhân nữ 62 tuổi bị mất trí nhớ đột ngột mà không có yếu, liệt tay chân. Kết quả: Xuất huyết não đính trái giai đoạn bán cấp muộn U màng não vùng thái dương T






